1 - 12 из 13 результатов
Серия внутри

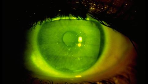
Тактика ведения пациентов с прокрашиванием роговицы
Контактная коррекция
Актуальные вопросы


Оценка посадки МКЛ с помощью осмотра на щелевой лампе
Контактная коррекция
Актуальные вопросы
Система классификации осложнений, связанных с ношением МКЛ по Н. Эфрону
Контактная коррекция
Актуальные вопросы

При миопии ВС увеличивается риск заболеваний глаза и необратимой потери зрения
Контактная коррекция
Актуальные вопросы

Подбор мягких торических контактных линз занимает слишком много времени
Контактная коррекция
Астигматизм

Очки обеспечивают более высокую остроту зрения по сравнению с торическими МКЛ
Контактная коррекция
Астигматизм

Моновизуальная коррекция — лучший вариант для начала коррекции пресбиопии КЛ
Контактная коррекция
Пресбиопия

Метод «прицеливания» — оптимальный способ определения доминантного глаза?
Контактная коррекция
Пресбиопия

Маленькие дети менее успешно носят контактные линзы
Контактная коррекция
Контроль миопии

Коэффициент трения МКЛ является ключевым фактором для их комфортного ношения
Контактная коррекция
Актуальные вопросы

Коррекция астигматизма слабой степени торическими КЛ не приносит пациентам пользы
Контактная коррекция
Астигматизм